上海纽菲思侯晓冬第五代热玛吉效果好吗 今天就科普一下

国内   来源:网络  责任编辑:百花残  2019-05-24 17:40:39
  最近几个月来,第五代热玛吉flx非常之火,有时候一下午就会做5个客人,连吃饭喝水的时间都没有。原因何在?当然是因为效果好!虽然如此,还是有很多人第五代热玛吉不甚了解,所以今天就科普一下。
 
 
 
 
  热玛吉的前程往事
 
  2002年,美国批准第一台射频设备应用于眶周除皱治,后陆续批准使用于面部,颈部及身体。因其抗衰效果好,热玛吉成为了热门的提拉、紧致、除皱方法,广受爱美人士的欢迎。随着技术发展,热玛吉更新到了第5代。
 
 
  第5代热玛吉用了全新名字Thermage®FLX,系統是一种单级电容耦合射频系统,用于非侵入式除皱紧肤治疗。
 
  F代表 Faster更快, L代表ALGORITHM更精准,X代表EXPERIENCE更舒适,标榜着热玛吉3大效能的提升。
 
 
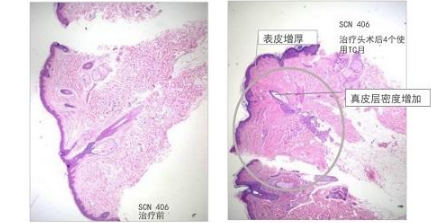
  2013年,有问了指出:对8位定期进行热玛吉治疗的求美者进行长达6-8年的观察发现,可有效抵御年龄衰老。整体满意度评分中,75%的患者表示满意,25%的患者表示高度满意。
 
  第五代热玛吉有哪些作用?
 
  初始期:胶原蛋白立即收缩——快速提拉。
 
  二期伤口愈合反应:胶原增生和重构。
 
  术后:胶原蛋白含量的改变。
 
 
从图中可以看出皮肤中胶原蛋白明显增多。
 
  第5代热玛吉有哪些变化?
 
  更快速——节省您的宝贵时间。
 
  第五代热玛吉FLX智能全效探头较第四代热玛吉治疗头面积大,覆盖面积及治疗速度均有提高。
 
  更舒适——冷却技术防止烫伤。
 
  1、探头加入改良振动模式,提升疗程舒适幅度。
 
  2、间断性的射频脉冲,冷却喷射,振动设计阻断疼痛信号传递至大脑,一旦有阻抗,可以自动调节能量,防止烫伤,提升舒适度。
 
  更智能——不同部位均获得最佳疗效。
 
  考虑到局部阻抗的变化,AccuREPTM技术对每个脉冲进行实时调谐,从而实现不同的治疗部位获得优化一致的能量。
 
 
 
  据我所知,第五代热玛吉上海地区购入设备的正规机构并不多,大家可以上热玛吉官网进行查询。
 
 
 

点击进入莞讯网首页>>

品牌介绍 | 广告服务 | 版权声明 | 联系我们 | 网站地图 | RSS订阅 | DMOZ目录
本站部分资料来源于互联网转载和网友发布,如侵犯您的权益,请联系我站客服,我们将尽快处理,谢谢合作!
Copyright © www.guannews.com Inc. All Rights Reserved.莞讯网