18cm致命巨脾博弈生死 多学科微创刀锋改写"地贫"患者命运

医疗   来源:莞讯网  责任编辑:百花残  2025-04-09 15:48:21
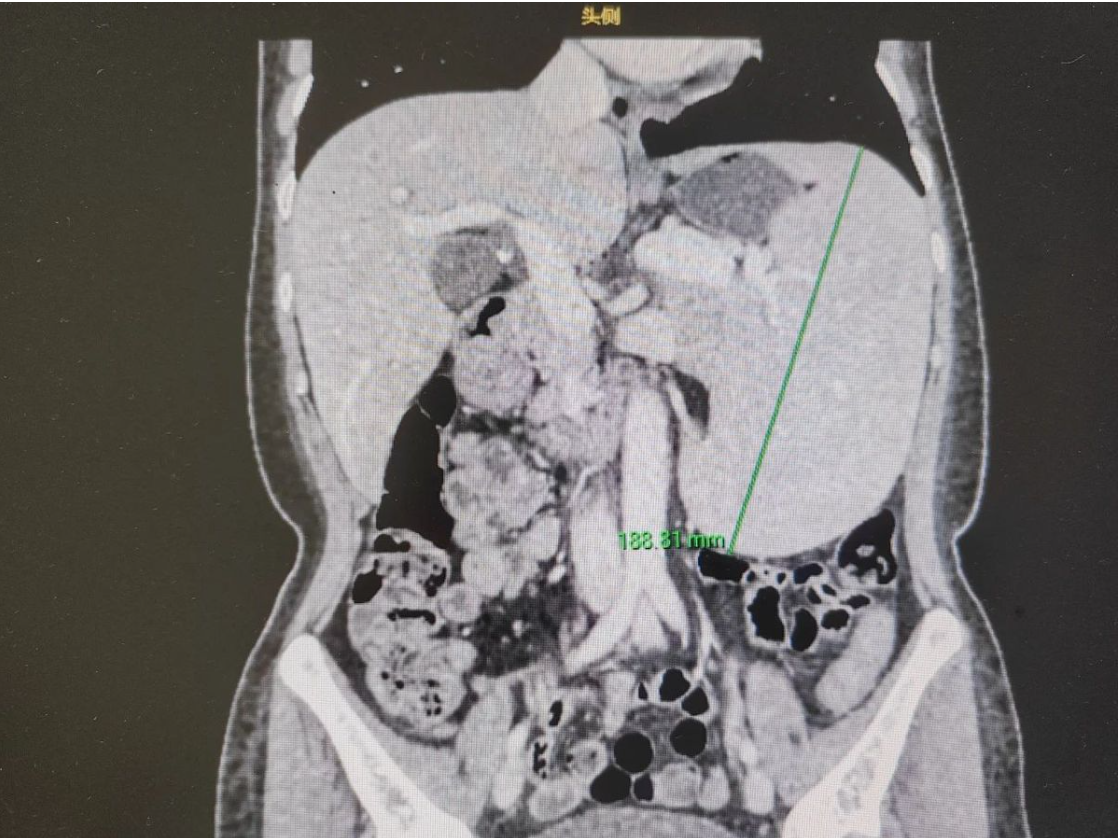
  当林树文主任的腹腔镜探入患者体腔时,手术室骤然陷入沉寂——膨胀至18cm的畸形脾脏如定时炸弹盘踞腹腔,与膈肌、胃壁形成的致密粘连组织像蛛网般包裹着重要血管。这个被地中海贫血摧毁的器官,此刻正以188mmx176mmx102mm的骇人体积,挑战着现代微创外科的精准极限。
 
  44岁患者刘某某的诊疗档案记载着残酷病程:血红蛋白值暴跌至62g/L的危急数据,胆囊结石与脾静脉扩张的多重并发症,以及持续两年夜间痛醒的生存炼狱。滨海湾中心医院MDT团队在三维影像重建中发现,患者脾脏已突破正常体积6倍,脆弱的器官包膜随时可能破裂引发致死性大出血。"这不是常规的脏器切除,而是在血管迷宫中拆解炸弹。"主刀医生在术前讨论中强调,传统开腹手术可能引发灾难性粘连出血,而腹腔镜手术需在厘米级操作空间完成毫米级血管离断。
 
  手术团队采取"超声刀分层剥离法",在3D腹腔镜导航下,将直径1cm的脾动脉主干与密布如网的侧支循环逐一切断。当最后一条脾结肠韧带在电凝钩下安全离断时,计时器定格在61分钟——这个时间较同类手术平均缩短40%,术中零输血记录颠覆了巨脾切除术的常规认知。病理分析揭示,长期代偿性工作的脾脏滤泡组织已纤维化质变,异常增殖的巨噬细胞仍在疯狂吞噬本已稀缺的红细胞。
 
  "切除病变器官是阻断恶性循环的关键抉择。"林树文团队在术后发布会上披露,该病例创新性采用经腹膜后入路,避开传统手术的胰腺损伤风险。数据显示,患者术后24小时即恢复肠鸣音,血红蛋白值以每日8g/L速度回升,这个医学奇迹背后是2000例脾脏手术经验累积的技术突破。
 
  值得关注的是,华南地区作为地中海贫血高发区,每年新增重型病例超300例。该院血液病研究所同步发布警示数据:约23%的中度地贫患者会进展为脾功能亢进,其中12%将面临脾切除抉择。专家呼吁建立"孕前筛查-新生儿诊断-终身监测"三级防控体系,通过血红蛋白电泳与基因测序技术,将致病基因携带者的识别率提升至99.2%。
 
  这场惊心动魄的腹腔战役,不仅改写了刘某某被疼痛撕碎的人生轨迹,更暴露出遗传性血液病防治体系的深层漏洞。当无影灯熄灭时,患者腹部18cm的切口瘢痕,已然成为现代医学对抗基因宿命的抗争印记。
 

点击进入莞讯网首页>>

品牌介绍 | 广告服务 | 版权声明 | 联系我们 | 网站地图 | RSS订阅 | DMOZ目录
本站部分资料来源于互联网转载和网友发布,如侵犯您的权益,请联系我站客服,我们将尽快处理,谢谢合作!
Copyright © www.guannews.com Inc. All Rights Reserved.莞讯网