突破手术风险广州复大医院氩氦刀技术救治肺癌老人

医疗   来源:网络  责任编辑:百花残  2019-02-19 15:34:12
  9月19日,暨南大学附属复大肿瘤医院(简称复大)收到肺腺癌患者李阿姨亲手写的感谢信,感谢复大牛博士氩氦刀冷冻手术为她有效治疗肺腺癌,并对所有帮助过她的医护人员表示感谢。
 
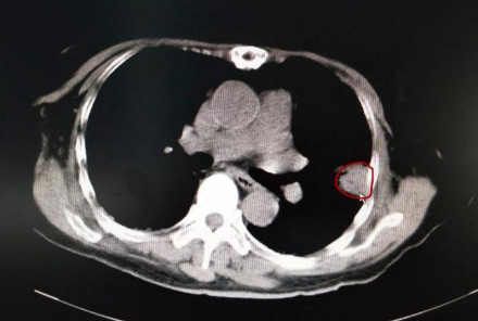
  患者李阿姨今年4月复查提示左肺结节增大,7月复查被告知胸部CT示“双肺间质纤维化伴感染,与前片对比未见明显变化;左肺上叶肿块,病变增大;经皮肺穿刺活检病理示‘肺腺癌’,EGFR示‘19外显子突变’,PD-L1(-),诊断‘左上肺腺癌T2aN0M0ⅠB期’”。
 
手术前李阿姨肺部CT片
 
  7月开始肺癌患者李阿姨辗转多地求医,却因为手术风险太大,被多家医院拒绝收治。李阿姨的两位邻居恰巧在十年前在暨南大学附属复大肿瘤医院治疗过,其中一位做过肺癌手术,术后恢复效果也很好。经他们介绍,李阿姨将以往的检查报告传到暨南大学附属复大肿瘤医院院长牛立志博士。在看过检查报告后,牛立志博士建议李阿姨来复大医院进一步复查进行治疗。
 
 
患者李阿姨
 
  随后李阿姨入住暨南大学附属复大肿瘤医院,牛立志博士会诊后立即制定氩氦刀冷冻治疗方案。9月12日牛博士主刀,带领复大冷冻治疗团队对李阿姨进行了冷冻手术治疗。当日9点时,团队以丰富的经验和精湛的冷冻技术对患者实施了正确有效的治疗,手术过程非常顺利,术中仅出血0.5ml,生命体征平稳。
 
 
牛院长在为李阿姨进行手术
 
 
手术进行时:左肺癌氩氦刀冷冻治疗术
 
  术后,经过24小时的密切监护、治疗,李阿姨症状明显好转。康复治疗期间,牛博士和医护人员对她关怀备至,精心呵护,对她的疑问百问不倦,耐心解释,让她切身体会到暨南大学附属复大肿瘤医院“厚德行医,医德共济”院训的真实。
 
 
左:牛立志院长 右:李阿姨
 
  9月19日李阿姨出院,离开时,她特意写下了情词恳切的感谢信。并再三感谢广州复大医院的医护人员,“广州复大医院全体医护人员尊老敬老,都非常热情,尤其是牛博士的医德医术特别让我感动。来到这里就像妈妈回到了娘家,一群孩子围着我们嘘寒问暖、问长问短、幸福极了……”感谢信字里行间全部是对医护人员的赞美,也饱含着患者对暨南大学附属复大肿瘤医院的感恩与信赖。
 
 
  李阿姨的这封感谢信中,看到的不仅仅是冷冻治疗团队精神,她更体会到了整个暨南大学附属复大肿瘤医院的医护人员竭尽全力救助每一个患者的信念。
 
 
  其实类似的“救命”氩氦刀冷冻治疗手术,暨南大学附属复大肿瘤医院的冷冻治疗团队已做了10000多例。这是1998年美国FDA、1999年中国SDA批准的新疗法,2000年暨南大学附属复大肿瘤医院从美国引进该技术,在近二十年的临床实践中,暨南大学附属复大肿瘤医院的肿瘤冷冻治疗技术愈发精湛纯熟。
 
  肺癌患者以她的亲身经历,讲述了患者视角的暨南大学附属复大肿瘤医院医护人员医德医术的。正是这些温暖的视角、感恩的声音,让暨南大学附属复大肿瘤医院的医护人员克服了昼夜颠倒、紧张劳累……在与病魔与死神的斗争中,一往无前,永不退缩。

点击进入莞讯网首页>>

品牌介绍 | 广告服务 | 版权声明 | 联系我们 | 网站地图 | RSS订阅 | DMOZ目录
本站部分资料来源于互联网转载和网友发布,如侵犯您的权益,请联系我站客服,我们将尽快处理,谢谢合作!
Copyright © www.guannews.com Inc. All Rights Reserved.莞讯网