男子患肠系膜肿瘤肚子疼4天

医疗   来源:莞讯网  责任编辑:百花残  2023-05-15 12:07:43

男子患肠系膜肿瘤肚子疼4天
 
东莞的骆先生今年55岁,4月23日到谢岗医院(市人民医院谢岗院区)治疗,他4天前莫名出现右侧腹痛,以中腹部及右下腹部为主,阵发性刺痛,活动时腹痛加重,安静及休息时缓解,伴有头痛。
 
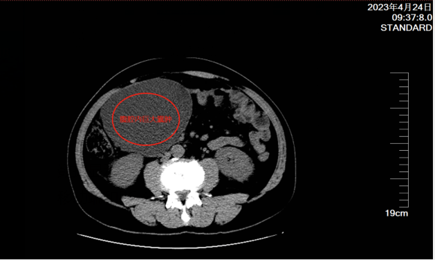
医生为他安排了腹部彩超检查,结果显示,右腹部有囊性包块。这是急性阑尾炎?还是消化道肿瘤?他随后被收入院进一步治疗。
 
入院后,检查确定是右中腹部腹腔内囊性病变,医生初步判断他得了肠系膜肿瘤,需要手术治疗。
 
4月26日,该院普外科为他实施了“肠系膜肿物切除术”,术中见腹腔有一巨大囊肿,大小约13*13*15厘米,质地软,有波动感,与周围组织轻度粘连。继续探查发现囊肿根部位于结肠系膜处、结肠动脉旁。
 
医生选择囊肿表面的浆膜层,用血管钳及电刀、超声刀在囊肿和浆膜层之间分离,分离过程仔细保护肠管血供,分离出部分囊肿后,改用手指分离,最后将囊肿完全分离出系膜外,彻底止血,手术顺利结束。
 
术后病理结果为:(腹腔肿物)符合囊肿伴慢性化脓性炎、纤维组织增生及脓肿形成。也就是说,该囊肿属于良性。
 
到了5月2日,骆先生腹部刀口疼痛进一步减轻,生命体征平稳;到了5月5日,恢复良好,无腹痛、腹胀,无恶心、呕吐,无尿频、排尿困难,达到了出院标准。
 
医生叮嘱他出院后休息1周,加强营养饮食,1周内避免剧烈运动,手术刀口隔2日换药;如有腹痛、腹胀、畏寒、发热、恶心、呕吐等不适则返院就诊。
 
【什么是肠系膜肿瘤?】
 
它是一种发生在肠系膜组织之间的罕见病,有原发性和继发性的区别。多为实性肿瘤,而恶性肿瘤占肠系膜肿瘤的一半以上,除此之外还有其他疾病,比如平滑肌肉瘤、神经纤维肉瘤。本病的主要原因为感染,有真菌感染、细菌性心内膜炎等,其次为动脉硬化,少见的原因有高血压,先天性发育不良等。(东莞+)

点击进入莞讯网首页>>

品牌介绍 | 广告服务 | 版权声明 | 联系我们 | 网站地图 | RSS订阅 | DMOZ目录
本站部分资料来源于互联网转载和网友发布,如侵犯您的权益,请联系我站客服,我们将尽快处理,谢谢合作!
Copyright © www.guannews.com Inc. All Rights Reserved.莞讯网