孩子牙齿正常后这个妈妈坚信:“地包天”矫正真要尽早!

医疗   来源:网络  责任编辑:百花残  2022-06-09 15:16:49

随着观念的改变

很多新一代的父母

往往对孩子的口腔健康

给予更多的关注

所以能够更早地发现

孩子的口腔问题

特别是一些牙列问题

能及时上医院寻求医生的帮助

进行早期预防、早期阻断治疗

或者早期矫正

能纠正不良口腔习惯

矫正不整齐的牙列

建立正常的咬合

让孩子拥有更加灿烂的童年笑容

 

6岁的小芙是个爱笑的小姑娘,但是小芙妈妈总感觉孩子笑起来带着一点不自然,下巴好像有点向外。每一个家长都希望自己的孩子健康、漂亮,小芙妈妈也不例外,所以在发现异常后到处查找资料,甚至还把小芙的照片发给了学医的同学,同学指出,小芙这种情况应该是反颌,也就是大家常说的地包天,建议到医院找口腔医生诊断。

 

小芙妈妈带着小芙来到了远东口腔科,由非常受小朋友欢迎的温柔牙医——深圳远东妇产医院口腔科陈娟医生接诊,经过一系列的检查,发现小芙就是反颌(地包天),并建议进行矫治,因为如果不进行矫治,随着年龄的增长,小芙的脸型可能就发育成“月牙脸”,严重影响美观。

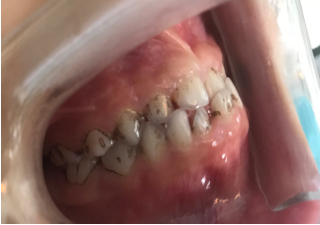
image.png 

小芙的牙齿情况

小芙妈妈也清楚如果不加以矫治任由发展,会给小芙带来哪些影响,所以选择矫治。医生根据小芙的各项情况,建议小芙使用MRC肌功能矫治器,来合理促进上颌发育,抑制下颌过度发育。只需要每天佩戴2小时,就能起到矫正的作用。

 

深圳远东妇产医院口腔科陈娟医生介绍说,MRC肌功能矫治,全称叫Myobrace是一款阶段性的矫治系统。MRC肌功能矫治通俗点讲就是儿童的“整牙”利器,通过对口腔内的肌肉等软组织的控制,以及不良习惯的纠正,提早进行牙齿整齐度的管理和干预,使有可能长歪或正在长歪的牙齿自发地走上正轨,并且达到孩子生长发育的最佳状态,从而解决牙齿不齐和面部发育不足的问题。

 

image.png 

反颌(地包天) 

深圳远东妇产医院口腔科陈娟医生拿出一个矫治器的模型给小芙妈妈看,看着这个简单的矫牙器具,小芙妈妈有点怀疑,这么简单的一个物品要在牙齿上真的能矫正孩子的“地包天”吗?

 

深圳远东妇产医院口腔科陈娟医生解释道,MRC肌功能矫治器是由弹性高、稳定性高的材料制成,无毒副作用,通过计算机设计成通用型理想的牙弓轨迹,并设计有舌尖诱导装置、舌挡、唇珠、中性颌定位装置等功能结构,虽然看起来很简单,但是在这个小小的矫治器上,有着4处功能,能帮孩子进行矫正。

 

MRC肌功能矫治器的四处功能

image.png

①处功能:正常牙齿的发育

正常牙齿的发育正常的呼吸、正常的吞咽、正常的颌骨位置,加上MRC矫治器上的牙弓轨道,您的孩子将会拥有一副正常的牙齿。

 

②处功能:异常肌肉软组织运 动级功能的纠正

佩戴MRC后,即可训练舌尖在正确位置停留以及正确吞咽,破除下唇肌在异常吞咽中的过渡活动。

 

③处功能:颌骨位置的矫正

MRC训练矫正器上鸟翼状增厚的磨牙后垫和中性颌位定位装置帮助矫正颌骨的位置,上下双牙弓轨道促进孩子用鼻子呼吸,不再张口。

 

④处功能:不良习惯的纠正

MRC训练矫正器上的舌档可以防治吐舌、咬唇、咬手指等不良习惯的发生。在佩戴过程中,您会发现,你以前一直喝止但是无法改变的不良习惯,孩子已经再也不会去做。

 

 

同时深圳远东妇产医院口腔科陈娟医生,还给小芙妈妈观看了别的小朋友的矫正过程,他们时间短的六个月就完成了矫正;时间长的也不会超过一年。这些成功的案例也给了小芙妈妈信心,选择了MRC功能矫治器。

 

因为是晚上睡觉的时候佩戴,小芙的接受程度也非常高,小芙妈妈也告诉她,现在佩戴矫正牙齿,是为了以后更加漂亮,爱美是小女孩的天性,小芙的配合度更高了。从初诊到复诊,经历了八个月的时间,小芙的“地包天”终于得到了矫正,回归到正常的牙列和牙颌,笑起来甜甜美美,小芙妈妈也没有觉得女儿的笑容怪异。

 

image.png 

深圳远东妇产医院口腔科陈娟医生强调:反颌(地包天)对孩子的影响潜移默化,且影响深远,贯穿身体发育、心理成长,以及未来发展,所以当家长发现孩子有“地包天”的情况时,一定要带孩子到正规的口腔医院检查,一旦确诊,尽早矫正解除反颌。

 

点击进入莞讯网首页>>

品牌介绍 | 广告服务 | 版权声明 | 联系我们 | 网站地图 | RSS订阅 | DMOZ目录
本站部分资料来源于互联网转载和网友发布,如侵犯您的权益,请联系我站客服,我们将尽快处理,谢谢合作!
Copyright © www.guannews.com Inc. All Rights Reserved.莞讯网