八旬老人输尿管结石并发脓毒症 多学科协作微创手术化解危机

医疗   来源:莞讯网  责任编辑:百花残  2025-03-20 16:39:01
  88岁高龄患者刘凤英(化名)因全身疼痛入住东莞市横沥医院,暴露出凶险病情链式反应。该患者基础疾病复杂:高血压、糖尿病长期失控,慢性心肾衰竭与房颤并存。入院时反复高热、脓尿、气促及意识模糊等危急症状,经多学科会诊确诊11项相互关联的疾病谱系,其中左输尿管结石引发的肾积脓及脓毒症成为致命威胁。
 
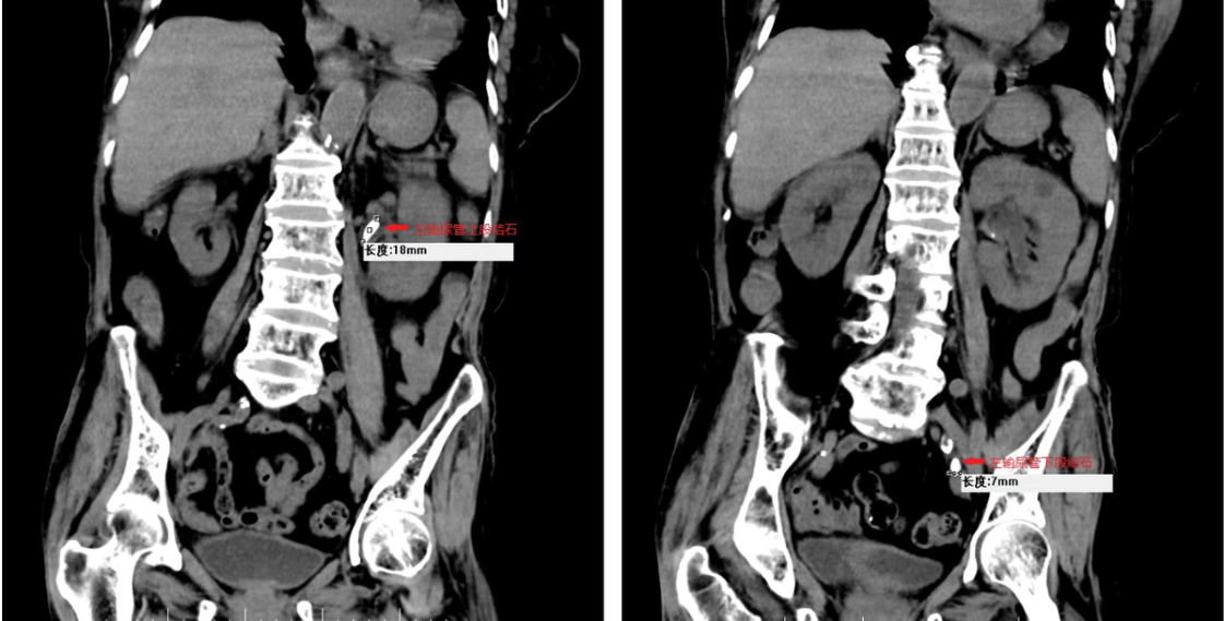
  影像检查显示患者左输尿管上下段多发结石,脓性分泌物已形成压力性喷涌。医疗团队面临两难抉择:传统取石术对高龄多脏器衰竭患者风险极高,而持续感染将加速多器官功能崩溃。泌尿外科果断采取"经尿道左输尿管支架置入术",通过微创技术建立脓液引流通道,成功实现肾盂压力梯度释放。
 
  手术中可见乳白色脓液自输尿管开口喷射,证实术前感染判断。术后三维重建显示支架精准跨越结石梗阻区,上端锚定肾盂,下端固定膀胱,有效构建泌尿系"生命通道"。该应急方案为后续抗感染治疗赢得关键时间窗,但下段结石因密度过高仍未显影,预示二期治疗仍存挑战。
 
  医疗专家指出,此类复杂病例凸显基层老年患者慢性病管理漏洞。患者长达数年的血压、血糖失控,与肋骨骨折未及时诊治,共同构成此次危象的潜在诱因。目前患者转入重症监护单元,需面对脓毒症休克、酮症酸中毒及多器官支持等多重生死博弈。
 

点击进入莞讯网首页>>

品牌介绍 | 广告服务 | 版权声明 | 联系我们 | 网站地图 | RSS订阅 | DMOZ目录
本站部分资料来源于互联网转载和网友发布,如侵犯您的权益,请联系我站客服,我们将尽快处理,谢谢合作!
Copyright © www.guannews.com Inc. All Rights Reserved.莞讯网