一直以来,人们都崇尚勤劳,厌恶懒惰。
布衣认真研究了自人类出现以来种种文明诞生和发展的历程,分析了其内在外在的联系和因素,得出了一个重要的结论:懒惰,只有懒惰才是推动社会文明进步的原动力。
但是在某种角度上讲,“懒”既能成为创造的动力,也能提高生产效率。
人类因为懒得爬楼,就有了电梯。因为懒得走路就有了车子。这样的懒惰不是我们眼中的懒惰,而是一种敢于突破的智慧,一种善于突破的眼光,一种全力突破的思维方式。
二代超皮秒Picoway
正是这种“懒惰智慧”的产物

因为“懒得”等待太久才能见效
所以研发PICOWAY二代超皮秒激光
“飞”一般速度成就“非”一般体验

因为“懒得”组合太多仪器
所以研发三波长、可调光斑
一台机器综合解决肌肤各种问题

因为“懒得”兼顾运输成本
所以研发MOPA结构+种子激光
机不择运,不惧运输挑战

因为“懒得”……
算了,懒得“智造”太多,说不完
美国赛诺龙在研发二代超皮秒的过程中
充分发挥了“懒惰”的“突破精神”
这种敢于突破,善于突破
全力突破的精神
才使之拥有领先行业科技
以“智造”带动美业风尚
二代超皮秒PicoWay
具“突破”精神的“智造”科技
PICOWAY原理


PICOWAY优势
1、能量光斑连续可调、1064/532/785nm三波长,疗程定制高度个性化

医师治疗过程操作便利,可根据患者不同的皮肤问题,即时调整波长能量,高度个性化定制最适合的疗程。独有的全息点阵聚焦科技,有效改善细纹、毛孔、肤色不均、色素斑等肌肤问题。
2、1064/532/785nm三波长,脉宽最低至300ps,更适合亚洲人肤质。

皮秒激光脉宽越短,产生的光震效应越大,斑点震得越碎,能大幅提升代谢效率。加上1064nm是更适合亚洲人肤质的波长,较大程度降低反黑几率。
3、超精巧种子激光+多级放大、超稳定MOPA结构,不易偏光,不惧运输挑战。

区别于同类型皮秒激光设备的较短激光腔,二代超皮秒的多级放大系统使种子激光更精巧、稳定性更高,配合超稳定MOPA架构,真正的稳定耐用,运输不再见光死,给你激光设备较低维护成本。
美肤新科技
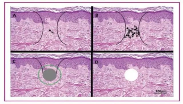
1、全息点阵聚焦技术:100%聚焦的能量,以礼帽式样分布。治疗区域内,每个光斑的能量一致。精准控制治疗深度和能量,治疗效果更易预测且更好!

2、双层聚焦,360°全像扩散

3、LIOB形成:高强度的聚焦激光进入皮肤组织,通过电浆效应剥离组织形成“空泡”,进而引起周遭组织的微发炎反应,刺激纤维母细胞,产生更多的胶原蛋白,达到嫩肤、祛皱的表皮抗衰效果。

推荐专家

副主任医师
五洲医美科皮肤专家
医学博士
德国海德堡(HEIDELBERG)大学客座医生
中华医学会激光医学分会北京委员会委员
擅长中西医结合美肤疗法、激光美肤及美白、特色治疗各种色素性皮肤疾病及血管性疾病
治疗效果
1、祛除黑色素效果


2、嫩肤效果
