福州贝臣口腔种植“珠穆朗玛” 缺骨也能种牙 -- 穿颧穿翼半口种植牙技术

医疗   来源:网络  责任编辑:百花残  2020-10-10 18:31:58

​半全口种植圆无牙颌患者好牙梦

如今,种植牙越来越为人所知,但如果上下颌骨条件不佳,种植牙将非常困难,不仅要大量植骨,而且等待的时间也延长。9月26日,贝臣齿科通过高难度“穿颧种植术”,在一天内为一名患者成功种上了半口牙。

微信图片_20200926191029

满口缺牙,生活索然无“味

44岁的刘先生,较大的苦恼就是牙齿的缺失,牙槽骨严重萎缩低平,连活动假牙都没法戴稳。年轻时随便啃苹果,现在把水果削成块吃起来都很困难。口腔健康没了,个人心情、生活质量都受到极大影响。

种植牙是缺失牙的常规修复手段,刘先生咨询了多家医院,很多医生对他的口腔状况都束手无策。并得出了一致的结论:上颌牙槽骨极度萎缩,按传统的种植方法,不仅操作难度极大,而且术后恢复比较缓慢,种植体也很容易失败。这让刘先生十分无奈。在四处打听的过程中得知,贝臣齿科国际牙种植中心团队正是国内为数不多掌握穿颧种植术的团队。经过详细的检查和问诊后,得知可以通过穿颧种植手术解决缺牙问题,让他很是欢喜。

贝臣种植团队

贝臣“种植团队”水平精湛,操作娴熟,擅长半口、全口重建、各式疑难种牙、以及种植失败补救、all-on-4、Fix-on-6、即拔即种即刻用、立即承重等种植修复术。

QQ截图20200926195655

穿颧种植术解析

“穿颧种植修复”是将种植体植入到人体较硬的骨头——颧骨,它可避免传统种植术取骨、植骨等手术风险,一天就可种好全口牙,其受力效果好、稳定性强,可使用一生。

贝臣专家团队说道:这种治疗方式所用的植体比普通的种植体长很多,在种植中容不得有半点差错,因为离眼睛比较近,如果专家技术不熟练很容易出现问题,风险比较大。所以,对种植医师水平和设备要求都非常高,只有在软、硬件条件都很好的医疗机构才能展开。

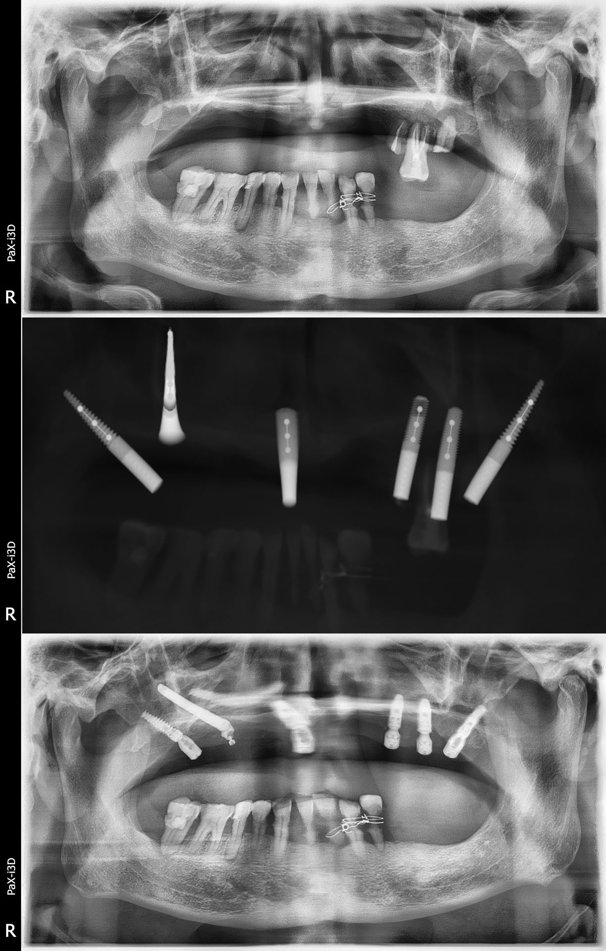
穿颧种植术是一种可靠的修复方法。其主要优点是避免了大量植骨手术,缩短了治疗周期。颧种植体从后牙区牙槽嵴顶或偏腭侧植入,穿上颌窦进入颧骨,获得颧骨与上颌骨双重固位;同时在前牙区植入2至4枚常规种植体,可完成上颌无牙颌的固定修复。

量身定制穿颧高难度种植方案

通过术前检查的CT片以及检测结果,传统“一日得”种植术不适合刘先生,贝臣医生团队量身定制穿颧半口高难度治疗方案来帮助刘先生恢复一口好牙!穿颧种植方案就是贝臣医生团队经过分析后最终给出的治疗方案。事实上能做这一种植方案的医生“穿颧种植方案”少之又少。经过贝臣医生团队帮助刘先生实现重获新牙的愿望。

微信图片_20200926183157

微信图片_20200926183632

医生水平+医院实力+团队默契

打造贝臣齿科在疑难种植领域名气

环境图

国庆中秋期间,接受预约半口/全口/各式疑难种牙

享双节特惠

QQ截图20200926152716

专家答疑

1.“穿颧种植与普通种植手术有哪些区别?”

“穿颧种植体的长度是传统植体的3~4倍,因此起点的微小误差就可导致末端的严重偏离,所以术前应详细进行手术计划,CT检查对于了解双侧颧骨的情况必不可少。患者还应进行常规的全身及口腔颌面部的专科检查,排除相关禁忌症的存在。”

2.“哪些患者可以采用穿颧种植?”

“牙槽骨严重萎缩、骨量极少,即使通过骨挤压、上颌窦提升等前期植骨手术,还是难以完成种植的患者,可以采用穿颧种植。还有一部分患者,由于先天无牙颌或严重牙颌缺损,几乎被宣告与种植牙无缘的患者,现在因为“穿颧种植术”的出现,通过颧骨固定种植牙,也能种牙了。”

3.穿颧种植有哪些优势?

穿颧种植主要优势在于:避免取骨、植骨等附加手术;种植当天可以立刻戴固定牙,能实现即刻负重,大大缩短了治疗时间;成功率高,极少有并发症。一般重度颌骨吸收患者需要2颗Zygoma(颞颧弓)种植体就可以获得非常好的固位效果,在前牙区可以垂直植入两颗普通种植体。对于极度严重的颌骨吸收的患者,还可以使用四颗Zygoma(颞颧弓)种植体,手术当天患者就可以戴上固定牙进食。

 

点击进入莞讯网首页>>

品牌介绍 | 广告服务 | 版权声明 | 联系我们 | 网站地图 | RSS订阅 | DMOZ目录
本站部分资料来源于互联网转载和网友发布,如侵犯您的权益,请联系我站客服,我们将尽快处理,谢谢合作!
Copyright © www.guannews.com Inc. All Rights Reserved.莞讯网