牙齿是人际交往中的重要一环
无论是面试、工作还是约会
一口整齐亮白的牙齿,
往往能让你事半功倍~

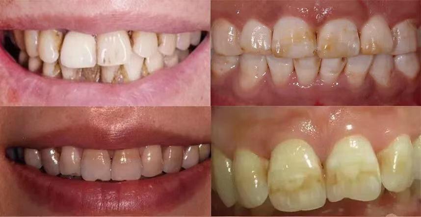
但是由于抽烟、咖啡和各种重口味食物
导致牙黄发黑,还伴随口臭等,
严重影响我们的日常交际:

试问看到这样糟糕的牙齿,
你还会想和那个人愉快聊下去吗?
不仅如此,牙黄连涂口红,
都显得那么难看和尴尬!

有什么方法可以让牙齿美白?
除了日常注重口腔清洁之外,
其实还有一条捷径可走:
牙齿冷光美白~
什么是冷光美白
冷光美白源自欧美,为现阶段先进的牙齿美白技术,具有高效快捷、舒适无痛、效果持久、防止龋齿等优点,只需30-40分钟就能让牙齿提高5-14个色阶,养护得当,保持亮白3-5年也OK。

冷光美白的原理就是通过波长介于480-520纳米之间的高强度蓝光,将过氧化氢和直径为20纳米的二氧化硅等为主体的美白剂,快速产生氧化还原作用。
透过牙小管,去除多年来沉积在牙齿表面及深层附着的色素,从而达到美白的效果,对牙齿结构及珐琅质不会造成伤害。

冷光美白适应症状:对于牙齿外因性的染色,如咖啡、酱油、茶等造成的染色,冷光美白的效果甚佳;还有就是中轻度四环素牙、氟斑牙、其他因素引起的变色牙、遗传性黄牙一般也可获得满意的结果。

冷光美白适应症
冷光美白的优势
1.快速美白牙齿
使用冷光牙齿美白仪进行牙齿美白仅需30-40分钟左右,在治疗时,利用特殊冷光作用在冷光牙齿美白剂上即可达到牙齿美白效果,做完就能即刻见效。

2.安全无刺激
冷光牙齿美白采用的是新的特殊冷光美白科技,采用物理还原原理,在治疗过程中不会伤害任何口腔组织,对牙齿无刺激,治疗过程舒适又安全。

3.美白深层又持久
不仅可以去除牙齿表面的色素沉积,同时可进入牙齿深层达到去色的效果,更使牙齿在美白后产生光泽,术后保养得当,可以维持2年以上,美白长效持久。
牙齿冷光美白需专业口腔医生操作,
一定要到正规的口腔机构。
家庭医生口腔牙齿冷光美白,
深受网红达人的欢迎。
价格学生党也配拥有~
如果您还有其他牙齿/口腔问题
可点击公众号首页对话框发送消息
客服马上来帮你解答~
长按进入小程序,
获得家庭医生口腔优惠

全民爱牙公益行动,是以促进全民口腔健康为宗旨的爱心公益行动,受到南方卫视、广州日报等诸多知名媒体报社大力支持!行动汇聚了德国、韩国、巴西等国内外权威口腔专家和社会各界爱心资源,以“免费、补贴援助”的形式,为全国各地口腔患者提供专业舒适的口腔服务。
截止到今日,已有10000多名成功援助案例,本次行动获得了各界高度赞扬与信赖!
1、官方报名热线:400-888-6991
2、公众号回复:姓名+电话+牙齿症状,即可申请公益种牙