山西肿瘤医院哪家好选择广州复大:老人双肾肾癌该怎么治

医疗   来源:网络  责任编辑:百花残  2020-07-16 14:46:06
  肾癌在人类肿瘤中发病率排第9位或第10位,其中正肾癌是泌尿生殖系统最常见的恶性肿瘤之一,约占成人全身恶性肿瘤的3%。近年来,全世界肾癌的发病率和病死率以每10年2%~3%的速度增加,呈现上升趋势。在中国,肾癌的发病率在过去的20年间以平均每年6.5%的速度增长,在泌尿系统肿瘤相关死亡中位居第一位。其中,在被诊断为肾癌的患者中,有20%~30%属于晚期。肾癌对人民群众生命健康的危害越来越大。因此,研究探索肾癌预防、诊断以及治疗的有效方法已刻不容缓(微信搜索:广州复大肿瘤医院)。
 
日常体检竟检出双肾肾癌
 
 
2017年,对安图(化名)来说,是一个悲伤的节点,勾勒着他从星辰璀璨到黯淡无光的回忆。
 
这位生活规律饮食健康的叔叔,退休前一直在政府部门工作,退休后开展自己的事业,从事贸易。尽管工作忙碌他依旧坚持每天按时九点睡觉早上五点起床晨练的习惯,直到2017年7月份的时候例行体检发现双肾“肾癌”。他不得不停止工作,开始了他漫长的抗癌之路。
 
 
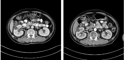
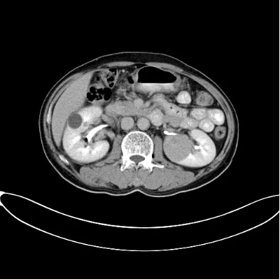
据安图叔叔的儿子回忆道,安图叔叔在体检前没有发现任何不适的症状,在体检后才知双肾占位,右肾下级占位16.1*7.2cm,左肾下级肿瘤约3.7*4.3cm的情况。突如其来的病情让一家人陷入了恐慌,从未想过一个健康自律的人会突然间就被检出肾癌,还是双肾。安图叔叔的儿子激动地说道:“我当时一下子懵了,父亲之前表现那么健康,一查竟病得很重,为确诊我把父亲转接到新加坡就诊,那边的医生在看了我父亲的片子后都表示这是肿瘤,要做切除双肾然后再透析,对于我们来说,切肾这样的治疗方案对我们来说是无法接受的,父亲毕竟一把年纪,这样做法太伤他身体。”
 
即使疾病缠身,我们还得积极的面对生活。在确诊患癌后,安图叔叔一家人慢慢开始接受患癌的事实,不断地鼓励他,要保持乐观的心态,与其害怕不如积极与它正面斗争。为更好了解肾癌的情况,2017年8月时他儿子携安图叔叔前往泰国做了右肾肿瘤穿刺活检,右肾被确诊为透明细胞癌。泰国医生也同样建议安图叔叔切除手术,安图一家果断拒绝这个治疗方案。
 
就在此时,安图叔叔的亲戚赶来家中告知一个信息,他的丈夫通过电视台得知中国有新的治疗技术并前来做治疗,目前身体恢复差不多。建议安图叔叔去中国试试。在此之前,安图叔叔不断尝试各种新药新疗法并没有任何进展。每一次在睡梦中醒来,他都得重新承受躯体带来的疼痛以及精神上的负担。
 
“冷冻”带来新的奇迹
 
在与亲戚详聊后,安图叔叔赶紧找到儿子在Google上搜索他们找到复大的相关信息。安图叔叔的儿子在网站上了解到冷冻消融术可经皮穿刺达到消融肿瘤效果并降低手术风险。为保留父亲的双肾,儿子尝试通过邮件与复大的客服取得联系,在得到回复“来复大可以有更好的治疗”,抱着试一试的心态,安图叔叔在儿子的陪同下前往中国暨南大学附属复大肿瘤医院。
 
 
安图叔叔与主刀医生合影留念
 
2017年9月安图叔叔开启新治疗之路,入院检查发现安图叔叔右肾透明细胞癌T3NxM1IV期、左肾癌、纵隔淋巴结转移瘤。为缓解安图叔叔腰疼的状况,9月21日进行介入治疗。经复大专家认真探讨后,考虑到安图叔叔身体精神状态良好,可进行冷冻消融术。经专家解说和安慰后,安图一家悬着心终于放下了。
 
 
安图一家与医生合影留念
 
2017年9月29日,从CT影像看到右肾情况更为严重。为减缓肿瘤增长的速度,专家进行商议后,最终决定由牛立志教授主刀为安图叔叔进行了右肾肿瘤冷冻消融术。手术开始后,牛立志教授在CT和超声引导下,同时使用两根冷冻针固定病灶,精准灭活肿瘤;术后很成功无不良反应。术后一周进行第二次双肾肿瘤冷冻消融术。安图叔叔儿子笑道:“当时真的很紧张,医生劝慰我无须担心,都交给他们,我们都很清楚知道父亲的病情,真的很感谢也很庆幸我父亲遇到复大的医护人员,免受开刀之痛。住院期间医护人员很尽心尽力的照顾父亲,手术的成功离不开他们的辛劳付出。”
 
 
冷冻治疗手术中
 
随着时间的推移,安图叔叔身体开始发生明显变化,腰疼的症状得到缓解,血尿的次数明显减少,睡眠质量有明显的改善。以前上厕所都是一件很痛苦事情,如今逐渐正常。安图叔叔的病情得到改善,在一次次的复查中得到主治医生王峰的佐证。过去的两年里,安图叔叔一直遵循医生的嘱咐,按时服药定时回院复查,到目前为止是安图叔叔第9次来院复查。安图叔叔的儿子说道:“我每次带父亲来检查都有新发现,肿瘤在一天天的变小,我们很相信医生的话,他们会给我们最好的治疗方案,如今已过去两年,父亲身体和精神慢慢转好,这是我们所希望的。”
 
 
 
 
自2017年做冷冻消融术后,安图叔叔两年多时间肿瘤不仅没有增长并多次检查没有复发迹象。安图叔叔认为,冷冻给他带来新的希望,又一次看到复大创造新的奇迹。
 
自2013年起,我院已开展冷冻消融术超万例并积累丰富的临床经验。
 
氩氦刀冷冻疗法优点:
 
① 既能治疗小的肿瘤,也能治疗大的肿瘤;既能消融单个肿瘤,也能消融多个肿瘤;
 
② 冷冻一般不会破坏大的血管和大的支气管、气管;
 
③ 冷冻治疗时不会引起疼痛,相反地,冷冻可止痛;
 
④ 冷冻消融过程可被超声和CT清楚地监控;
 
⑤ 被消融的肿瘤细胞会释放抗原,激发人体免疫功能,从而清除未被消融的肿瘤细胞,有助于预防癌症复发。
 
广州复大医院咨询电话:020-38476021
 
广州复大肿瘤医院公众号:
 
 

点击进入莞讯网首页>>

品牌介绍 | 广告服务 | 版权声明 | 联系我们 | 网站地图 | RSS订阅 | DMOZ目录
本站部分资料来源于互联网转载和网友发布,如侵犯您的权益,请联系我站客服,我们将尽快处理,谢谢合作!
Copyright © www.guannews.com Inc. All Rights Reserved.莞讯网