自己拔牙竟引发肾衰竭?
四川成都87岁的刘大爷,
前些日子牙疼难忍,头昏脑涨!
于是,他一气之下
居然自己找钳子把牙齿给拔掉了!
可不成想,这一下差点要了命……

“牙齿痛的时候,我就拿着钢丝钳,把牙齿扯了,丢了。”
本来以为牙齿拔了就算斩草除根了,谁知道第二天,刘大爷突然昏倒了。不仅如此刘大爷还发了高烧,之后感染性休克被赶紧转到ICU。拔了一颗牙后就被送进了重症监护室,刘大爷到底是出了什么情况?
经过当地医生紧急会诊得出的结论是:急性肾功能衰竭!

听到这个结果,想必大家都十分震惊!怎么拔牙会拔出如此严重的后果?
医生介绍,感染性休克是各种感染因素作用下,细菌大量生长繁殖进入到血液,继续在血液中生长并产生毒素,导致血压下降,继而出现全身多器官功能损害,会危及患者生命。

因为刘大爷自行在家拔牙时,
没有注意消毒卫生,
导致细菌通过皮肤和黏膜上的创口
进入到血液循环中,
从而引发感染性休克和急性肾衰竭。

对此医生提醒:任何炎症、病痛,都要使用科学的方法治疗。特别是坏牙拔除等,如果自行解决,一旦引起感染,后果不堪设想。
拔牙需要注意哪些事?
拔除松动牙、坏牙、智齿等,
为了防止发生感染,
一定要去正规的口腔机构处理。
下面和医生一起来看看,
拔牙还要注意哪些事情呢?

拔牙注意事项
1;避免空腹拔牙,可能引起低血糖,造成头晕、心慌、胸闷,甚至晕厥等;
2;拔牙术后紧咬棉花40分钟—1小时止血,24—48小时内轻微渗血及唾液中带血丝都是正常现象,如有大量出血需及时复诊;
3;拔牙术后24小时内不要刷牙及漱口,避免因血块脱落等原因而引起的二次出血;
4;麻药过后,有肿胀疼痛,为正常现象,一般48—72小时内会缓解,如3天后症状加重,需及时复查。
5;糖尿病患者拔牙术前必须控制血糖,术前、术后3天建议口服抗生素,减少术后感染的可能性;
6;女性避免在月经期、妊娠期拔牙,哺乳期拔牙需控制药物的使用,协调哺乳的时间。
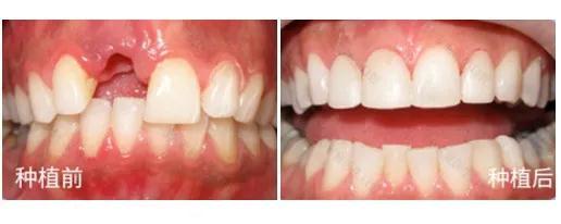
拔牙后请及时做修复
除了智齿与多生牙之外,
一般成人拔牙后均需
安装假牙或考虑种植,
一般在拔牙3个月后选择修复方案,
以避免邻牙倒伏,引发更多问题。

当然对于无法忍受拔除前牙后少一颗牙,对美观要求高的患者,可以在拔牙前至口腔医院,评估是否可行即刻用种植牙。
即刻种植牙技术,不用等待拔牙的创口愈合就可修复,当天种当天用,减少了手术次数,大大缩短了治疗时间。而且,拔牙后立即植入植骨材料或人工牙根能有效预防牙槽骨吸收,使骨丧失达到最小。

最后温馨提示:
牙痛千万不要自己拔牙,
专业的事情交给专业的医生做哦~
今天的分享就到这啦~
如果你还有其他牙齿/口腔问题
▼
可点击公众号首页对话框发送消息
客服马上来帮你解答~

(部分图文来源于网络,如有侵权请联系删除)

长按进入小程序,
第一时间获得口腔优惠

全民爱牙公益行动,是以促进全民口腔健康为宗旨的爱心公益行动,受到南方卫视、广州日报等诸多知名媒体报社大力支持!行动汇聚了德国、韩国、巴西等国内外权威口腔专家和社会各界爱心资源,以“免费、补贴援助”的形式,为全国各地口腔患者提供专业舒适的口腔服务。
截止到今日,已有10000多名成功援助案例,本次行动获得了各界高度赞扬与信赖!
1、官方报名热线:400-888-6991
2、公众号回复:姓名+电话+牙齿症状,即可获得免费种牙
