广州全民爱牙公益行动牙齿缺失危害性怎么办

医疗   来源:网络  责任编辑:百花残  2020-05-07 10:39:04
  广州全民爱牙公益行动跟你讲牙齿缺失的危害性,那么牙齿缺失的危害性都有哪些?
 
  危害一:邻牙松动,又掉两颗
 
  牙齿缺失后,相邻的牙齿会因为没有固定的依靠,向缺牙间隙倾斜,时间长了会造成周围邻牙的松动,致使全口牙齿的正常功能遭受严重的破坏。
 
 
  危害二:对牙伸长,再掉一颗
 
  下牙缺了一个牙,长期得不到修复,上面相对应的那颗牙则会有伸长现象。严重还能占据整个缺失间隙,造成牙齿无法修复,导致咬合紊乱,松动脱落。
 
 
  危害三:食物嵌塞,产生口臭
 
  正常牙齿与牙齿之间,排列得十分紧密,一旦邻近的牙齿移动,牙齿与牙齿之间就会出现缝隙,容易使食物嵌塞到牙齿间隙里,从而引起口臭、龋齿、牙周病等
 
 
  那么如何解决牙齿缺失的问题呢?
 
  方法一:活动假牙修复
 
  活动假牙的优点是,单次价格低,修复方便。但戴起来异物感强并可能影响发音,且咀嚼效率低,还可能容易损伤邻牙,引起牙龈组织萎缩、牙槽骨吸收和颞下颌关节疾患等不良后果。另外,活动假牙每隔3~5年就需更换一次,长期使用下来价格也不便宜。
 
 
  方法二:烤瓷牙修复
 
  瓷牙的修复方式需要以相邻的两颗健康好牙作为代价来实现“搭桥”。也就是说,缺失了一颗牙齿,需要承担三颗烤瓷牙的费用。而这笔费用已经与单颗种植牙的花费相差不大。另外烤瓷牙容易出现牙龈变黑、崩瓷、冷热敏感等问题,对牙齿造成不可逆的伤害。
 
 
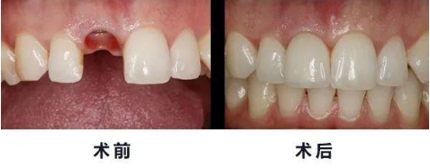
  方法三:种植牙修复(推荐)
 
  从长远利益考虑,种植牙修复其实是一种性价比最高的修复方式。如果缺牙患者经济条件许可,建议选择人工牙根修复,既可以免于活动假牙清洗维护的麻烦,又无需像烤瓷牙磨伤邻牙,更能获得媲美真牙的咀嚼功能和美观程度。
 
 
  “即刻用”种植牙技术:
 
  家庭医生口腔智能种植牙技术,在数字化仪器的协助下,医生可以快捷有效度控制种植体位置、深度和角度,只需要微小的切口就可以植入,摆脱了传统种植方式的切口、翻瓣、缝合、拆线等步骤。
 
 
  智能种植牙创口小、恢复快、痛感少,能最大限度的达到牙齿美学的修复效果,适用于所有年龄阶段的患者
 
 
  口腔医生提醒!
 
  医生提醒:单颗牙缺失往往被人忽视!事实上,缺牙后应尽早修复,避免引发牙槽骨萎缩、邻牙松动、牙周病等口腔疾病,也容易加重身体其他慢性疾病。一拖再拖影响口腔健康,后期修复需要花费更多的时间金钱,及早修复才是最省时省钱省力的做法。
 
  全民爱牙公益行动,是以促进全民口腔健康为宗旨的爱心公益行动,受到南方卫视、广州日报等诸多知名媒体报社大力支持!行动汇聚了德国、韩国、巴西等国内外权威口腔专家和社会各界爱心资源,以“免费、补贴援助”的形式,为全国各地口腔患者提供专业舒适的口腔服务。
 
  截止到今日,已有10000多名成功援助案例,本次行动获得了各界高度赞扬与信赖!
 
  1、官方报名热线:400-888-6991
 
  2、公众号回复:姓名+电话+牙齿症状,即可获得免费种牙

点击进入莞讯网首页>>

品牌介绍 | 广告服务 | 版权声明 | 联系我们 | 网站地图 | RSS订阅 | DMOZ目录
本站部分资料来源于互联网转载和网友发布,如侵犯您的权益,请联系我站客服,我们将尽快处理,谢谢合作!
Copyright © www.guannews.com Inc. All Rights Reserved.莞讯网