男子以为患普通感冒 经检查已是“大白肺”

医疗   来源:莞讯网  责任编辑:百花残  2023-12-01 16:40:18

男子以为患普通感冒 经检查已是“大白肺”
 
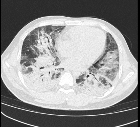
近期,东莞38岁的袁先生因“发热、咳嗽、喘息”,来到东莞市石碣医院治疗。刚开始他以为只是普通的感冒,“熬”一下就过去了,但胸部CT检查结果却让大家吃惊:已经“大白肺”。
 
此时此刻大家都不禁为他捏了一把汗,一场抢救就此展开。
 
医护人员立即为袁先生开通静脉通路,采集动静脉血化验检查,实施多功能心电监护、抗感染、抗病毒等救治措施。但他的病情仍然不断恶化,急转直下。
 
对于成年人,在不吸氧的情况下,血氧饱和度都能维持在96%以上,甚至可达到100%;一般低于93%,就会出现明显呼吸困难。
 
但袁先生在高流量吸氧下,血氧饱和度也仅仅能维持在84%-88%。如果病情继续加重,随时都可能出现心跳呼吸骤停,生命危在旦夕。
 
医院对此高度重视,立即组织了重症医学科、内一科、内二科会诊。经过认真研讨,认为袁先生属于“重症肺炎+重度急性呼吸窘迫综合征”,需要上呼吸机,并转入重症监护室密切监测生命体征、俯卧位通气治疗,必要时实施气管插管。
 
但在是否接受治疗的问题上,袁先生有些犹豫。因为他来自普通家庭,是家里的顶梁柱,担心治不好会人财两空。
 
就在他内心挣扎之时,ICU医生耐心地解释病情及治疗方案,他的妻子表示会积极配合治疗。
 
她说:“只要有帮助,我们都想尽力去尝试!”这句话给了袁先生坚持下去的信心。
 
随后,袁先生被转入重症监护室,接受“无创呼吸机+俯卧位通气”治疗。
 
俯卧位通气,需要让患者平躺在病床上,一般需持续16小时以上。刚开始,袁先生和妻子也有所顾虑:平时趴着睡都会觉得胸闷、呼吸不顺畅,现在肺都不好了,会不会更难受?
 
重症医学科主任江均贤解释道:白肺情况下,大部分的肺部感染病灶、炎症渗出紧密地沉积在背部。通过俯卧位,让背部的炎症受重力的作用重新分布,从而有利于肺炎的吸收。不仅不会加重呼吸困难,还是白肺好转的关键。
 
在听了江主任的宣教后,袁先生再无疑虑,积极配合做俯卧位通气。
 
可是俯卧位通气并不是指“翻过去”那么轻松。由于袁先生的肺功能差、病情重,身上还留着各种管道,不要说自行翻身,连说话都费劲,一句长的话都只能断断续续地分几次讲完。每次翻身,都需要重症监护室5-6名医护共同完成。
 
在俯卧位通气治疗过程中,要时刻监测生命体征、询问感受,护士还需反复观察皮肤情况,是否出现压疮。
 
除了身体上的治疗,心理上的关爱也是必不可少的。由于危重患者心理承受着不可估量的压力,医护在查房、输液、操作治疗过程中都会询问袁先生的感受。
 
他偶尔会说“我好难受”“我坚持不下去”,甚至会有“我不想活了”的念头。医护们时常开导安慰他,增强他战胜病魔的信心。
 
在重症监护室的第二天,袁先生的病情仍未好转。为了帮助他呼吸并提高免疫力,医生决定进行气管插管,同时注射大剂量的丙种球蛋白。
 
但袁先生的肺部炎症并未明显吸收,血氧饱和度始终在90%至94%之间波动,这让大家非常担忧。
 
医护团队并没有气馁。在接下来的两周里,他们反复检查袁先生的病情,时刻监测生命体征,并调整治疗方案。他们精细地调控呼吸机参数、继续进行俯卧位通气、抗病毒和抗细菌感染治疗,同时加强营养支持,保持水电解质酸碱平衡,进行气道管理和皮肤护理,并预防深静脉血栓。
 
在医护人员的精心治疗下,袁先生的血氧饱和度渐渐可以维持在97%以上,肺功能逐渐恢复。
 
凭借袁先生的坚持不懈、患者家人不离不弃与鼓励,以及医护人员的精细治疗,在治疗的第十天,袁先生迎来了曙光。
 
又过了几天,袁先生顺利地停用呼吸机,拔出气管插管,病情稳定,转出普通病房。
 
当袁先生的妻子看到他转危为安的样子,不禁露出久违的笑容,流下感动的泪水。最后,袁先生在内一科悉心照料、治疗下,好转出院。
 
出院前,袁先生及家人非常高兴,为石碣医院送来两面锦旗表示感谢。经过一段时间的休养,袁先生已经基本康复,步行来医院复诊。
 
什么是白肺?
 
健康的肺是由通气功能正常的肺泡组成,这样的肺泡充满了空气,在X光和CT上都是透光的,并且显示为黑色。
 
但如果肺部有严重的疾病,比如重症肺炎、肺部肿瘤或者有大量的积液,这时在X光和CT上就表现为一种烟雾笼罩的白色,即我们俗称的“白肺”。
 
如有以下情况,建议及时就医
 
1.高热不退,即使服用退烧药退烧后,体温仍反复升至39℃以上;
 
2.没有“肺病”,但休息时出现气喘、呼吸困难症状;
 
3.出现“感冒”症状,精神状态很差,一天不如一天;
 
4.家中有血氧饱和度仪,检测血氧饱和度持续低于93%。(东莞+)

点击进入莞讯网首页>>

品牌介绍 | 广告服务 | 版权声明 | 联系我们 | 网站地图 | RSS订阅 | DMOZ目录
本站部分资料来源于互联网转载和网友发布,如侵犯您的权益,请联系我站客服,我们将尽快处理,谢谢合作!
Copyright © www.guannews.com Inc. All Rights Reserved.莞讯网