肚疼不要大意!东莞两名男士肚疼都被查出肠癌!

培训   来源:东莞+  责任编辑:百花残  2024-01-02 15:59:36

日常生活中,肚子疼很常见,但肚子疼,可小可大。有时是肠胃炎等小病,但也有可能是肠癌。近期石碣医院接诊了两名肚疼的患者,最后都查出了肠癌。

温伯今年61岁,近日,他因左下腹疼痛来到石碣医院普外科就诊。

医生了解得知,温伯1年前已出现了大便变细、不成形、次数增多、排便量变少等症状。1个月前出现了左下腹间歇性疼痛、解黑便。

专科检查显示,温伯左中下腹部有压痛和一肿大包块,边界不清,疑似结肠癌。

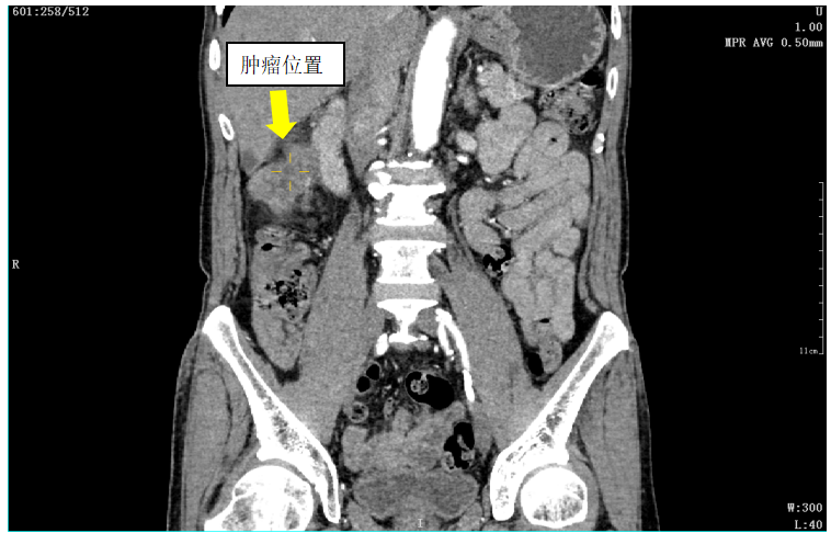
为了进一步查清原因,温伯被收入普外科住院部,随后的腹部CT检查显示,温伯属于乙状结肠、降结肠交界区肿瘤,并突破浆膜,周围肠系膜多枚淋巴结。

▲温伯肿瘤位置

进一步肠镜检查显示,温伯的乙状结肠距肛门约27厘米处,可见一巨大肿物,堵塞了肠腔,不能看清全貌,肠镜不能通过。

最终病理活检证实为:乙状结肠中分化腺癌,也就是大肠癌!需要尽快手术治疗。

随后,普外科团队为温伯实施了“腹腔镜下左半结肠根治性切除术”,术中可见,癌肿瘤位于降结肠和乙状结肠交界处,约5×4×4厘米大小,突破浆膜并与前腹壁粘连。

由于肿瘤位于降结肠远端,手术的时候,需保留直肠上动脉,才能保证吻合口血运,要在保留肠系膜下动脉及直肠上动脉的情况下,进行肠系膜根部彻底的淋巴结清扫。同时切除肠管较长,引起脾脏及胰腺损伤风险较大,需要高超的手术技巧。

最终,癌肿瘤被顺利完整切除,由于是微创手术,创伤小、出血少,术后温伯恢复快,术后第2天即可下床活动。

▲叶伯肿瘤位置

今年,石碣71岁的叶伯也因反复肚子痛,到石碣医院就诊,被确诊为结肠癌(中分化)。

刚开始他不愿意手术治疗,5个月后,叶伯症状加重,呕吐、大便难以解出,才再次来到石碣医院就诊,经检查肠癌有所加重。

近日,他接受了“扩大右半结肠根治术”,术中见肿瘤位于结肠肝曲,最大直径约10厘米,质硬,浸润浆肌层,与十二指肠降部水平部处有浸润可能。普外科团队凭借着精湛的手术技巧,顺利完成手术。

以上两位肠癌患者,均表现为肚子疼,因此肚子反复疼痛不要大意,要及时检查治疗。

【知多D】

一、为什么肠癌早期容易被忽视?

结直肠癌是常见的癌症类型之一,据国家癌症中心公开发表的统计数据报告显示,2016年结直肠癌的发病人数已超过40万例,已成为癌症发病率仅次于肺癌的第二大癌症类型。2016年结直肠癌死亡人数则超过了19万。而且目前发病率和死亡率均呈现不断增加的趋势。

结直肠癌一般没有典型的临床症状,尤其是早期癌变,只有一部分患者有排便习惯改变、大便次数增多、大便变形、变细、便血、黏液便、腹痛等表现。

由于这些症状缺乏特殊性,一般人都不会想到癌变,以为是“痔疮”“湿热”,所以一拖再拖,很多人因此延误诊断而后悔莫及。

二、如何早发现肠癌?

1.近几年结直肠癌已出现年轻化的趋势,建议40岁以上的人,尤其是长期高蛋白、高脂肪饮食、长期烟酒、久坐、肥胖、熬夜,最好常规体检做一次结肠镜检查,以便尽早发现一些无症状的早期结直肠癌。

2.没有任何检查能够替代肠镜。肠镜可以做到早诊断、早治疗。选择无痛肠镜,可以做到无痛苦,做肠镜不再怕。

3.结直肠癌主要以外科手术治疗为主。早期肠癌治愈率较高,5年生存率可达90%以上,一旦发现结直肠癌要尽早手术治疗。

 
 

点击进入莞讯网首页>>

品牌介绍 | 广告服务 | 版权声明 | 联系我们 | 网站地图 | RSS订阅 | DMOZ目录
本站部分资料来源于互联网转载和网友发布,如侵犯您的权益,请联系我站客服,我们将尽快处理,谢谢合作!
Copyright © www.guannews.com Inc. All Rights Reserved.莞讯网